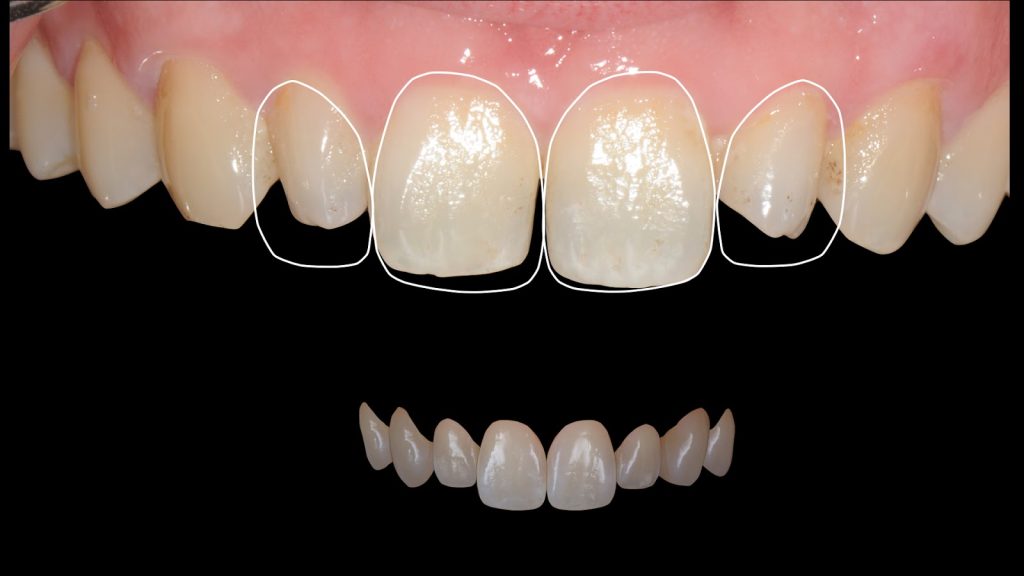
Zirkoniafasader är ett bra alternativ när både hållbarhet och ett estetiskt resultat krävs. Den
moderna zirkonian är tillgänglig i högestetiska versioner med hög translucens, vilket gör
den mer lämpad för fasader än tidigare generationer.
Fördelar:
- Mycket starkt material – motståndskraftigt mot sprickor
- Estetiskt alternativ till E-max vid tuffa bettförhållanden
- Lång hållbarhet
Indikationer:
- Fasader i fronten med hög belastning
- Patienter med funktionella problem eller slitna tänder